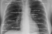
胸片全体曝光问题解析-医学影像质量控制与患者安全 在现代医学影像中,胸片是一种常见的检查方式,它可以帮助医生诊断多种胸部疾病。胸片全体曝光的问题在医疗实践中引起了广泛关注,这不仅关系到患者的健康安全,也关系到影... 服饰 admin 19 2026-01-21